+919028144140
Currently it only shows your basic business info. Start adding relevant business details such as description, images and products or services to gain your customers attention by using Boost 360 android app / iOS App / web portal.
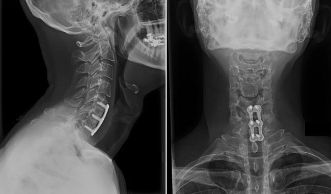
Cervical Lumbar Spondylosis Surgeon In Nashik Surgery. If conservative treatment fails or if neurological symptoms — such as weakness in your arms or legs — worsen, you might need surgery to create more room for your spinal cord and nerve roots. The surgery might involve removing a herniated disk, bone spurs or part of a vertebra.